(Bug Zotero 7.1-beta.14) Duplicated/"astigmatic" images
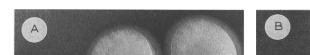
The PDF viewer and *any* theme applied (on the beta.14) I am finding this bug:
https://s3.amazonaws.com/zotero.org/images/forums/u2580262/q0llwyw5hhppc0ptzchp.png
When *no* theme is applied it looks normal:
https://s3.amazonaws.com/zotero.org/images/forums/u2580262/sst31r0hdttt54px1dud.png
I have found it only with this file: https://www.sciencedirect.com/science/article/abs/pii/0378517389902810
Other papers look normal, at least until now.
https://s3.amazonaws.com/zotero.org/images/forums/u2580262/q0llwyw5hhppc0ptzchp.png
When *no* theme is applied it looks normal:
https://s3.amazonaws.com/zotero.org/images/forums/u2580262/sst31r0hdttt54px1dud.png
I have found it only with this file: https://www.sciencedirect.com/science/article/abs/pii/0378517389902810
Other papers look normal, at least until now.
Upgrade Storage